ODONTOLOGIA ESTÉTICA
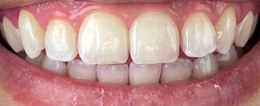
A Odontologia Estética compreende restaurar a saúde, função e a harmonia do sorriso, unindo tecnologia e técnicas consolidadas.
Compreende restaurar sorrisos com lentes de contato, restaurações estéticas em resina composta



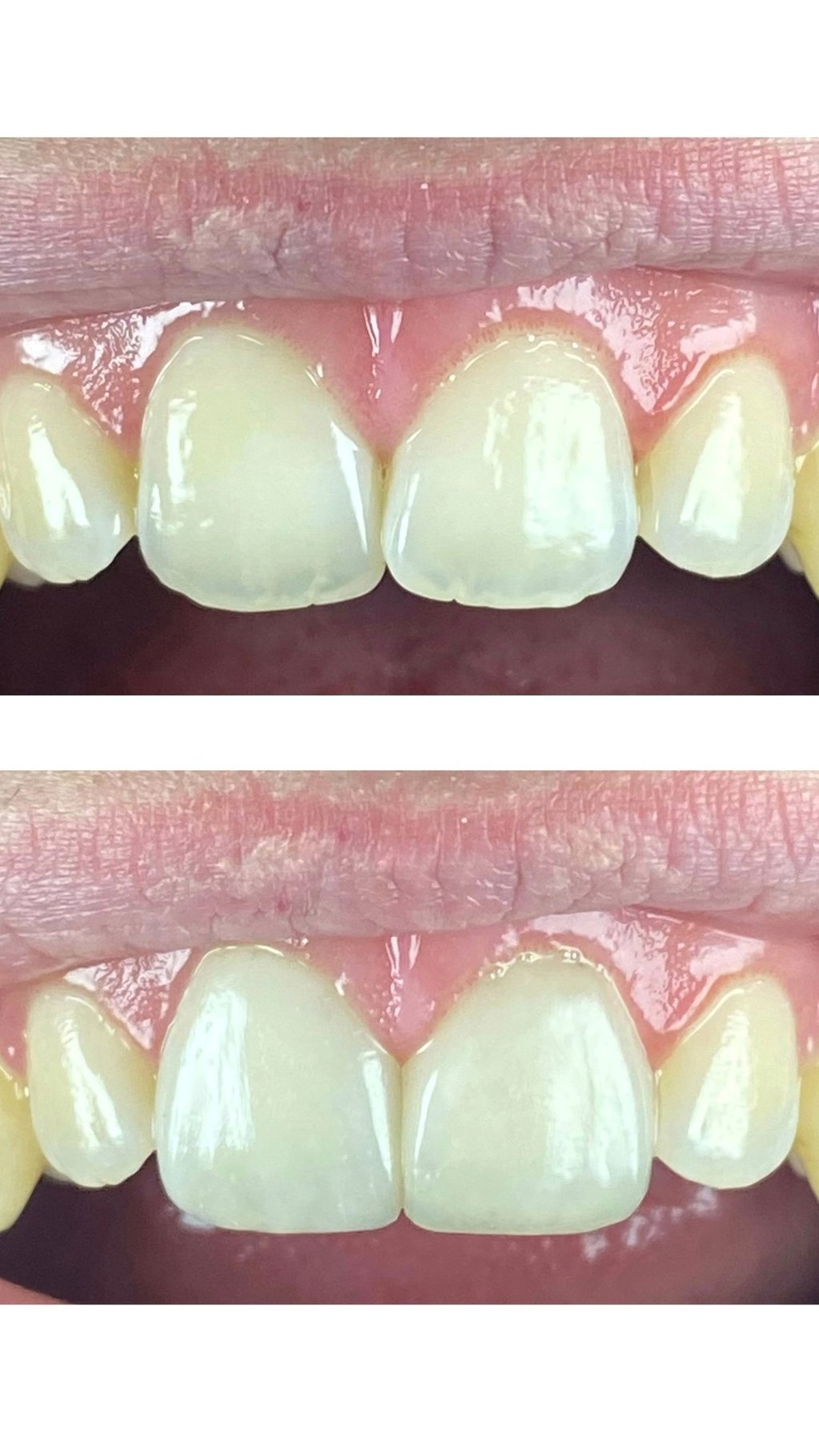
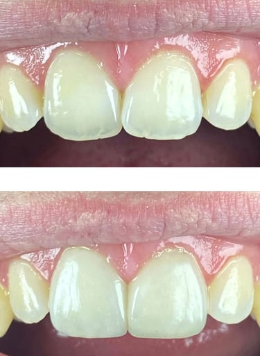
Lentes de contato dental em cerâmica
Faceta de Resina Indireta
Faceta de Resina Feita em boca
Meus Serviços
Cuidados completos para seu sorriso saudável e radiante
Profilaxia e Prevenção
Quer Gastar menos tendo mais saúde?
Prevenção é o melhor investimento no seu sorriso
O acompanhamento profissional é essencial para prevenir cáries e doenças gengivais, mantendo sua saúde bucal em dia.
Além disso, a prevenção permite identificar problemas ainda no início, antes que causem dor ou exijam tratamentos mais complexos.
Cuidar agora é a melhor forma de evitar desconforto e reduzir gastos no futuro.


CLAREAMENTO
Tem medo de sensibilidade no clareamento?
Hoje existem técnicas e materiais avançados que permitem um clareamento eficaz com mínimo ou nenhum desconforto.
Cada paciente é avaliado de forma individual, para que o protocolo seja totalmente personalizado, garantindo segurança, conforto e resultado natural.


RESTAURÇÃO INDIRETA POSTERIOR




Restaurações indiretas são reconstruções do dente feitas fora da boca, com maior precisão, e depois cimentadas pelo dentista.
São indicadas quando há maior perda de estrutura dental, oferecendo mais resistência, melhor adaptação e estética superior em comparação às restaurações convencionais.


